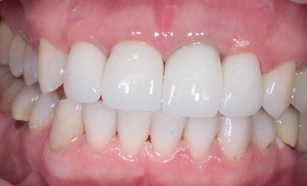
Протезирование предполагает замещение дефектов зубного ряда с помощью разнообразных конструкций: коронок, протезов, виниров. Стоматологическая клиника «Мона Лиза Дентал» предлагает как бюджетные, так и премиальные варианты замены, которые невозможно отличить от натуральных зубов.
Какие варианты протезирования предлагаются?
В стоматологической клинике "Мона Лиза Дентал" услуги протезирования включают:
Винирами называются тонкие пластины из композитного или керамического материала, которые заменяют слой зубной эмали, улучшая окрас и форму зубов. Используются для исправления дефектов зубной эмали.
В основе коронки находится литой металлический каркас толщиной стенки 0,3-0,5 мм. Создается каркасная основа из стоматологических сплавов кобальта и хрома, никеля и хрома. Возможно исполнение каркаса на базе драгоценных металлов.
На металлическую основу послойно накладывается керамическая масса. Каждый слой проходит обжиг в печи при температуре 800-950 градусов, благодаря чему достигается особо надежное соединение материалов. Этот вариант является отоносительно недорогим, по сравнению с остальными.
Одна из последних технологий в области протезирования, которая дает возможность создавать максимально реалистичную замену натуральным зубам. Протезы изготавливаются из высокопрочной стоматологической керамики. Каркаса не имеют. Стоимость по новой технологии выше, чем традиционной металлокерамики, однако и по эстетическим характеристикам итог получается лучше.
Ткани зуба могут восстанавливаться не только с помощью пломб. Все чаще современные стоматологи прибегают к вставкам и винирам, которые позволяют восстановить внешний вид зуба, сделав зоны коррекции незаметными. Вставки не темнеют, невосприимчивы к воздействию красящих веществ, не истираются.
- Избавление пациента от бруксизма;
- Щадящее шлифование зубов;
- Подбор подходящего варианта протезирования, выполнение протезов, восстановление красоты и функциональности зубного ряда.
Дает возможность разрабатывать конструкции, которые пациент легко устанавливает и снимает. Такое стоматологическое протезирование зубов имеет невысокую цену.
Как осуществляется протезирование?
Есть проблема? Позвоните нам, чтобы записаться на консультацию!







