Эстетическая реставрация зубов (художественная реставрация) — это процедура по коррекции приобретенных и природных недостатков зубов. Чаще всего, в таких случаях не понадобится имплантация и протезирование. Всего за несколько посещений стоматолога у вас есть возможность при помощи инновационных технологий провести восстановление эстетики, вернуть цвет эмали и провести реконструкцию фронтальной группы зубов.
Показания к проведению процедуры
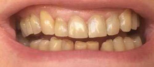
Показаниями к проведению реставрации зубов могут служить:
- небольшие сколы на поверхности зуба
- появление пигментации и потемнение зубной эмали (при противопоказаниях к отбеливанию)
- необходимость изменить положение зубов в ряду
- диастема
- поражение кариесом.
Устранение перечисленных дефектов происходит под анестезией и не вызывает у пациента дискомфорта. А результат при соблюдении рекомендаций будет радовать вас до 7 лет.
В стоматологии «Мона Лиза» при планировании реставрации зубов врачи учитывают их размер, форму и прикус.
Наши специалисты используют диагностические модели и mock-up. Оборудование последнего поколения и современные материалы позволяют восстановить даже частично или полностью разрушенный передний ряд зубов.
Мы не только подберем наиболее подходящий вид реставрации, но и обсудим с вами как будет проходить рабочий процесс, какие материалы будут использованы, и какой результат вы получите после окончания процедуры.
Современные методы позволяют проводить реставрацию фронтальных зубов таким образом, чтобы по окончании процедуры ваша улыбка выглядела естественно и эстетично.

Методы реставрации зубов
Прямой (терапевтический) метод проводится с использованием пломбировочных материалов непосредственно в ротовой полости пациента. Используются фотокомпозиты, которые позволяют реставрировать одну или сразу две стороны зуба без установки коронки.
Фотокомпозиты зарекомендовали себя как прочные и эстетичные материалы, с помощью которых врач придает фронтальной группе зубов идеальную форму всего за один прием. После проведения лечения для долгой службы материалов пациенту необходимо посещать стоматолога для полировки зубов раз в полгода.
Видео наращивания зубов
Непрямой метод проводится с использованием зубных вкладок, накладок, коронок и керамических виниров. Он проходит в несколько этапов. При первом посещении клиники врач препарирует зубы под оптимальный вид конструкции, подбирает и согласовывает с вами цвет будущей реставрации, снимает слепки и передает в зуботехническую лабораторию.
На следующем приеме происходит примерка, а в дальнейшем и установка микропротеза. Непрямая реставрация зубов позволяет корректировать неправильную форму зуба, избавиться от сколов, справиться с разрушением зубной эмали и желтизной зубов. После нескольких посещений вы станете обладателем настоящей голливудской улыбки. И результат при выполнении рекомендаций врача сохранится до 10 лет.
Противопоказания
Существует ряд противопоказаний к проведению реставрации зубов:
- бруксизм
- некоторые виды нарушения прикуса
- истончение дентина
- аллергия на композиты и другие материалы, используемые в процессе реставрации.
Цена реставрации зубов
| Эстетическое пломбирование передних зубов | от 150 руб. |
Цель врачей стоматологии «Мона Лиза» — внимательно отнестись к каждому «эстетическому» запросу, помочь пациенту решить именно ту задачу, которая позволит обрести желаемую улыбку.
Записаться на реставрацию зубов в Минске вы можете через форму на сайте либо по телефону.

