Одно из самых новых и прогрессивных направлений ортопедической стоматологии – эстетическое микропротезирование. К преимуществам метода относят эстетичность по цвету и форме, высокую износостойкость, функциональное восстановление зубного ряда.
В стоматологической клинике Минска "Мона Лиза Дентал" можно получить квалифицированную помощь по микропротезированию в том случае, когда зуб достаточно разрушен, и терапевтическая стоматология не сможет обеспечить нужный эффект, либо при желании улучшить эстетику.
Что такое эстетическое микропротезирование?
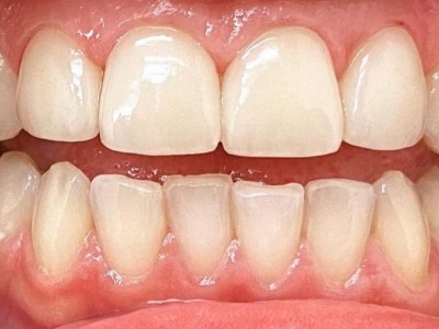
Эстетическое микропротезирование – это восстановление условно здорового (вылеченного) зуба ортопедическими методиками с помощью вкладок и накладок (виниров).
Вкладки – очень прочные микропротезы, точная копия отпрепарированной полости зуба. Они могут выполняться из керамики, метала или композитного материала, выполняют эстетическую и восстановительную функции.
Виниры – это керамические пластинки, которые устанавливают на зуб с эстетической и защитной целью. Как вкладки, так и накладки имеют стойкость к физическим и химическим воздействиям, сохраняют цвета и не окрашиваются красителями различных видов (чай, кофе).
Порядок микропротезирования
Изготовление вкладок и накладок проводится в зуботехнических лабораториях по заранее отснятому врачом в клинике слепку.
Процесс постановки вкладки или накладки занимает около 3 часов, манипуляции выполняют в два посещения:
- При первом визите врач убирает патологически измененные ткани зуба, готовит полость под вкладку, изготавливает слепки, закрывает полость временной пломбой.
- Во время второго приема специалист проводит примерку вкладки и фиксирует ее к поверхности зуба.
С помощью виниров можно за несколько посещений решить даже довольно серьезные проблемы, а главное – создать потрясающую белоснежную улыбку.
В нашей клинике возможно протезирование по страховке.



