Возможно лечение по страховке – Подробнее
«Голливудская» красота зубов возможна – с винирами!
Это отличная альтернатива изготовлению коронок.
Что такое виниры?
Винир - композитная либо керамическая пластинка, устанавливаемая на вестибулярную поверхность зуба. Технология позволяет их ставить как на интактный (здоровый) зуб, так и на депульпированный.
Какие бывают виниры?
Компониры – новейшая технология установки заводским путем изготовленных композитных накладок за одно посещение.
Композитные виниры - эстетические реставрации из композитного материала, изготавливаемые врачом непосредственно во рту пациента в одно посещение.
Керамические виниры – лабораторно выполненные после обточки зубов по предварительно отснятым слепкам. Фиксируются специальным составом к поверхности зуба, идеально восстанавливают эстетику, долговечны, однако процедура изготовления требует нескольких посещений:
- Первичный осмотр, консультацию, выбор метода и подбор цвета;
- Препарирование - частичное удаление твердой части зуба;
- Снятие объемного слепка, на основе которого делается пластина;
- Установку временной конструкции
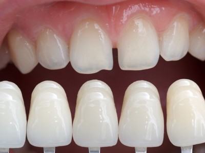
- Изготовление керамической пластины, изнутри она делается шероховатой для лучшего сцепления;
- Фиксацию винира с помощью стоматологического клея;
- Оценку получившегося прикуса и удаление ненужного цемента.
Какие преимущества дают керамические виниры?
- Cочетание прочности и долговечности – служат более 10 лет при соблюдении правил эксплуатации;
- Отменные эстетические свойства, благодаря которым пластины невозможно отличить по цвету и форме от своих зубов;
- Исключение необходимости в регулярной полировке – керамика отлично сохраняет цвет и блеск.
Керамические виниры в Минске обойдутся дороже, чем в случае с композитным аналогом. Причем конечная цена зависит от качества используемой керамики.
Композитные виниры хороши по следующим причинам:
- Оперативная и безболезненная установка;
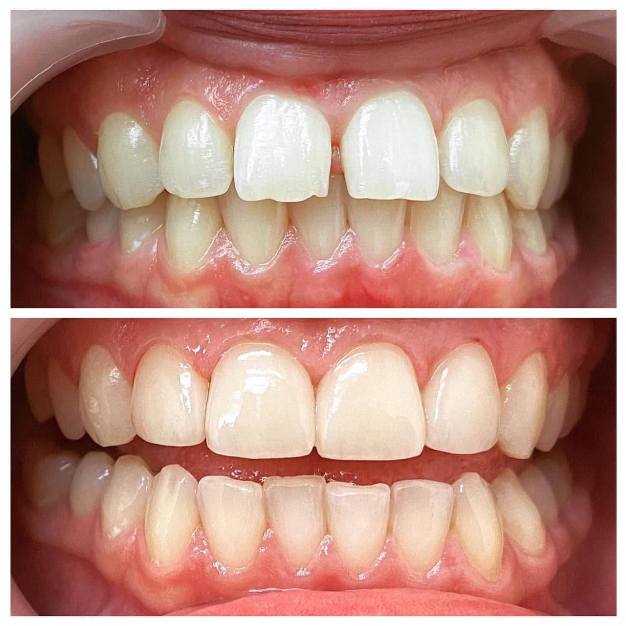
- Высокие эстетические характеристики – внешне виниры практически неотличимы от поверхности родных зубов;
- Доступная стоимость – если вы хотите поставить виниры по более низкой цене, выбирайте композитный вариант.
Минус заключается в том, что композитные реставрации нужно время от времени полировать, чтобы поддерживать естественный блеск.
Если вы планируете поставить виниры на зубы в Минске, запишитесь на консультацию к стоматологу, чтобы подобрать оптимальный по цене и качеству вариант.
Виниры показаны при:
- Изменении цвета зуба (после проведенного эндодонтического лечения, после приема лекарственных препаратов, с возрастом, по другим причинам);
- Неправильной форме зубов, диастеме (щели между центральными резцами);
- Травмах (скол зуба);
- Неэстетичных старых пломбах;
- Кариозных и некариозных поражениях передних зубов;
- Других недостатках формы и цвета зубов.
Для установки виниров существуют следующие противопоказания:
- Наличие вредных привычек (грызть ногти и различные предметы);
- Бруксизм (возможно после предварительной подготовки пациента);
- Особенности прикуса;
- Большие по объему повреждения зуба (показана коронка);
- Неудовлетворительная гигиена полости рта.
Цены на установку виниров
| Композитные виниры | от 260 руб. |
| Компониры | от 360 руб. |
| Керамические виниры | от 950 руб. |
В стоматологической клинике "Мона Лиза Дентал" врачи учтут желаемый цвет зубов и естественную отражаемость света эмалью.
Ваша улыбка будет безупречна!
Порадуйте себя отличной улыбкой и совершенным цветом зубов при любых исходных данных!






